Aggressive Digital Papillary Adenocarcinoma Pathology Outlines

Đăng nhận xét

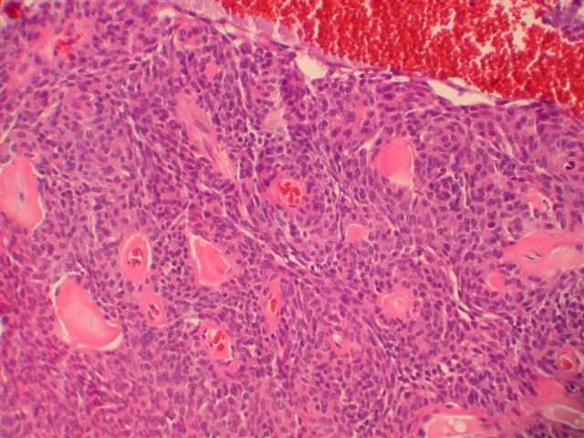
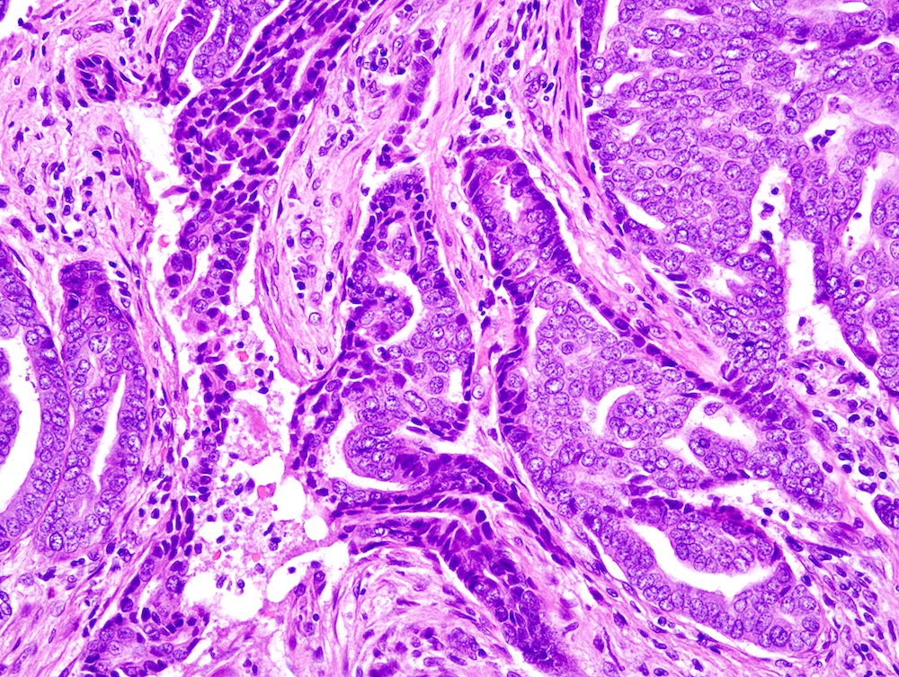
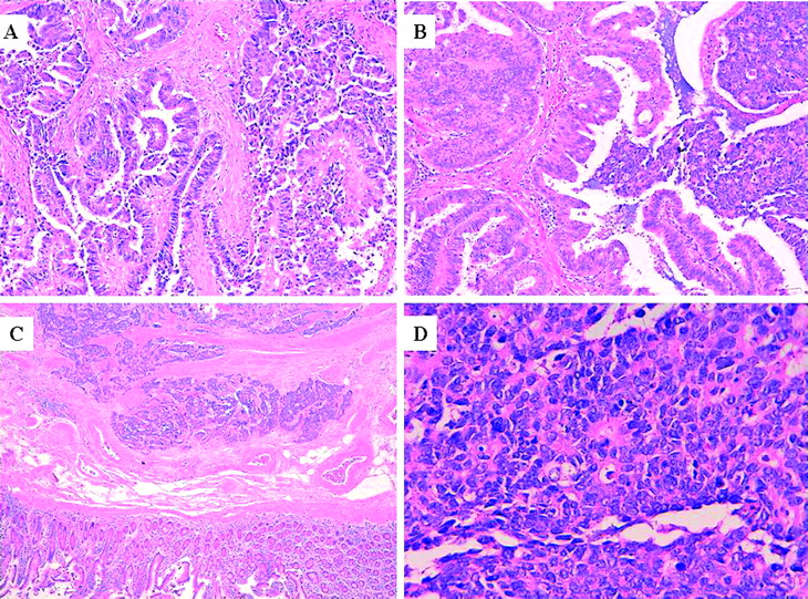
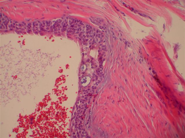
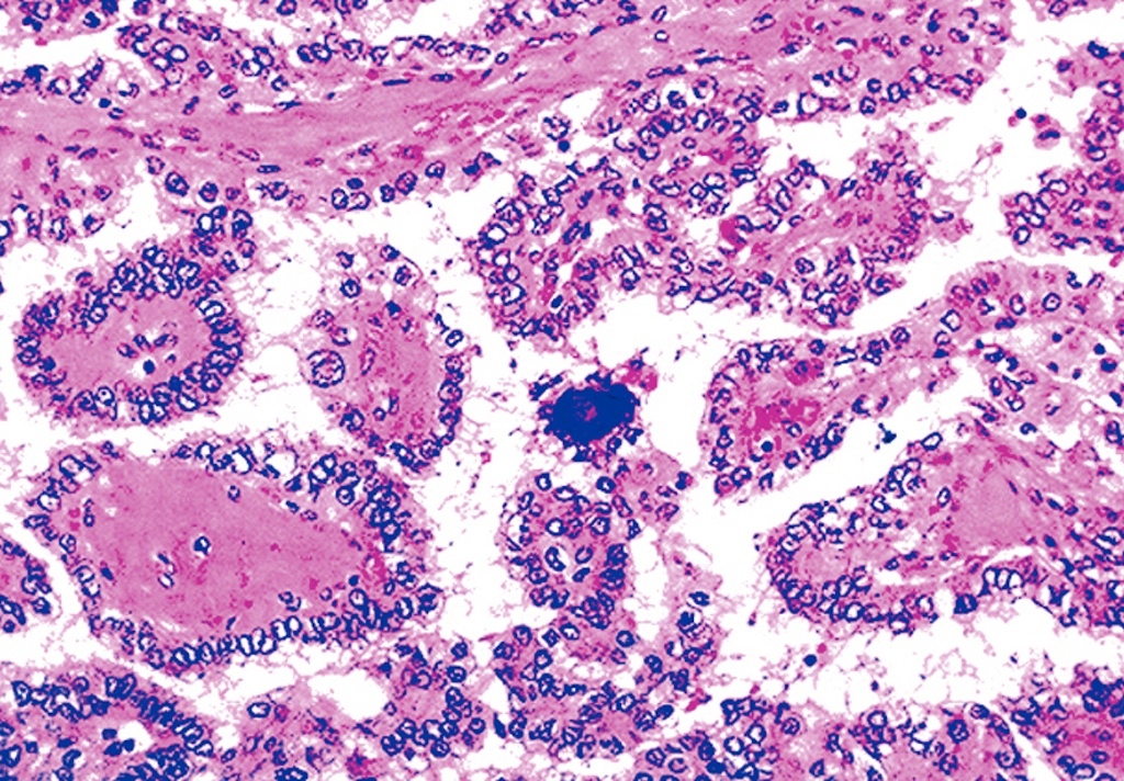
Aggressive Digital Papillary Adenocarcinoma Pathology Outlines. Overall the morphology and clinical presentation would be most consistent with an aggressive digital papillary adenocarcinoma. In 1987 a clinicopathologic study by the armed forces institute of pathology (afip) of rare sweat gland tumors, termed aggressive digital papillary adenoma and. An acral location and a high recurrence rate are characteristic features.

Aggressive digital papillary adenocarcinoma A report of two diseases
Aggressive digital papillary adenocarcinoma A report of two diseases from www.jaad.org

Overall the morphology and clinical presentation would be most consistent with an aggressive digital papillary adenocarcinoma. 3+4=7 (10% pattern 4, no cribriform morphology). This cancer is also more. Aggressive digital papillary adenocarcinoma is a rare eccrine sweat gland malignancy that is frequently misdiagnosed at initial presentation. A case report and review of the. Basal cell carcinoma, other basaloid tumours. Volume 44, supplement 1, 2012,. In 1987 a clinicopathologic study by the armed forces institute of pathology (afip) of rare sweat gland tumors, termed aggressive digital papillary adenoma and. Home > ear > aggressive papillary tumor.

A Case Report And Review Of The.


Lung adenocarcinoma is associated with exposure to radon (not benzene) and is typically found in the peripheral regions or upper lobes of the lung. In 1987 a clinicopathologic study by the armed forces institute of pathology (afip) of rare sweat gland tumors, termed aggressive digital papillary adenoma and. Aggressive digital papillary carcinoma was first described by helwig in 1984 [] and later by kao g. Greatest length of cancer in a core: Basal cell carcinoma, other basaloid tumours. 5 mm (40%) no evidence of perineural invasion or extraprostatic extension. Aggressive digital papillary adenocarcinoma are acral tumours, which have a broad morphologic spectrum and may cause diagnostic confusion.previously, tumours would.

3+4=7 (10% Pattern 4, No Cribriform Morphology).


Home > ear > aggressive papillary tumor. Aggressive digital papillary adenocarcinoma is a rare eccrine sweat gland malignancy that is frequently misdiagnosed at initial presentation. In 1987 a clinicopathologic study by the armed forces institute of pathology (afip) of rare sweat gland tumors, termed aggressive digital papillary adenoma and. Histologically, this tumor is similar in. This cancer is also more. Aggressive digital papillary adenocarcinoma (adpaca) is a rare, underreported, and often misdiagnosed malignant tumor of the sweat glands most commonly occurring in. We read a recent case report entitled “aggressive digital papillary adenocarcinoma with multiple organ metastases:

Volume 44, Supplement 1, 2012,.


Aggressive digital papillary adenocarcinoma is a rare neoplasm of eccrine sweat gland origin. In 1987.kao studied 57 cases and divided neoplasms into. An acral location and a high recurrence rate are characteristic features. Overall the morphology and clinical presentation would be most consistent with an aggressive digital papillary adenocarcinoma.

Related Posts

Đăng nhận xét